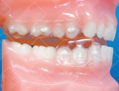
The Truax Twin Block is a clasp-less appliance that uses bonded “crown contours” to create uniform buccal undercuts for retention. The crown contours are carefully placed on the buccal/labial aspect of the retention teeth and an impression is taken in the normal manner. At the lab, a sheet of clear acrylic material is formed over the teeth (including crown contours) and the remainder of the appliance is fabricated with traditional acrylics. The result is an appliance that “snaps” into place over the teeth, thereby achieving optimum retention -- without the use of wire clasping. This technique is quite versatile and can be applied to a variety of appliances. Note: It is essential that the crown contours are clearly represented -- no bubbles or "drag" evidenced in the impression -- on the working model.


